BIOSCIENCE 特殊染色標本一覧
特殊染色標本一覧
特定の物質 (蛋白、多糖類、脂質等)および金属 (カルシウム、亜鉛等)等を検出するための染色方法で、特殊染色と呼ばれています。
記載の無いものもできる限りご対応いたします。どうぞお気軽にお問い合わせください。
- 【結合組織の染色】
- 線維化病変、基底膜の観察など幅広い用途に用いられます。
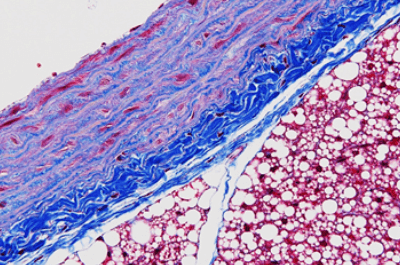
| マッソントリクローム (MT)染色 | 膠原繊維が青く染まる
|
|---|---|
| ピクロシリウスレッド染色 | 膠原繊維が赤く染まる
|
| エラスチカ・ワンギーソン (EVG)染色 | 弾性繊維は黒紫に、膠原繊維は赤く染まる
|
| アザン染色 | 色素の浸透性の違いによって、膠原繊維、細網繊維、硝子滴は青く、繊維素は赤く染まる 膵島のA,B,D細胞、細胞内顆粒の染め分けにも用いる
|
| エラスチカ・マッソン染色 |
弾性繊維は黒紫、膠原繊維は緑色、平滑筋細胞や筋細胞は赤橙色に染まる
|
| 渡辺の鍍銀 (Ag)法 | 細網繊維は黒く、膠原繊維は赤紫に染まる |
| ビクトリアブルー染色 | 弾性線維は青色、結合組織と筋組織は赤色~淡赤色に染まる
|
| リンタングステン酸ヘマトキシリン (PTAH)染色 →DIC、膠原病、横紋筋、神経膠細胞など |
横紋筋の横紋や、フィブリンなどの繊維素が 青く染まる
|
- 【多糖類の染色】
- グリコーゲン、上皮系腺癌、真菌、などの観察に用いられます。
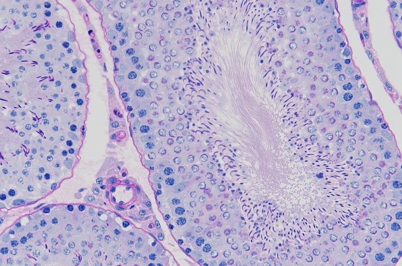
| 過ヨウ素酸シッフ (PAS)反応 →上皮系腺癌、真菌、赤痢アメーバ、など |
細胞内グリコーゲンや腎糸球体基底膜、尿細管基底膜、精巣のアクロソームが赤~赤紫に染まる
|
|---|---|
| トルイジン青 (Tb)染色 →肥満細胞腫、など |
酸性ムコ多糖が紫に染まる
|
| アルシアン青 (Al-b)染色 →軟骨、クリプトコッカス莢膜、など |
ムチン、プロテオグリカンなど酸性ムコ多糖が青く染まる
|
- 【神経組織の染色】
- 脱髄病変、神経細胞の形態、などの観察に用いられます。
| ルクソールファストブルー染色 →脱髄病変など |
髄鞘が青く染まる
|
|---|---|
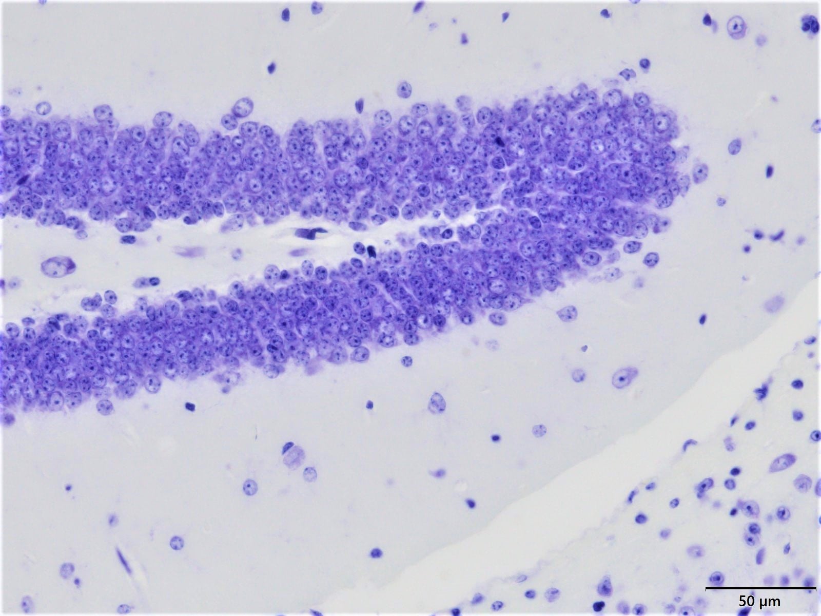
| ニッスル染色 | ニッスル小体が紫に染まる
|
| クリューバー・バレラ (KB)染色 →脱髄病変など |
ルクソールファストブルー染色と、ニッスル染色を組み合わせて髄鞘とニッスル小体がそれぞれ青、紫、にそれぞれ染まる
|
- 【基底膜の染色】
- 腎糸球体基底膜、メサンギウム細胞の病変、などの観察に用いられます。
| 過ヨウ素酸メセナミン銀 (PAM)染色 | 腎糸球体基底膜、メサンギウム細胞、尿細管基底膜、上皮の基底膜が黒色に染まる
|
|---|
- 【血液細胞の染色】
- 骨髄病変、血液疾患などの観察に用いられます。
| ギムザ染色 →骨髄、血液塗抹、など |
血球系細胞顆粒の好酸性~好塩基性に従って赤~青に染まる ※生検、塗抹に限らず骨髄の組織標本での実施も可能
|
|---|
- 【軟骨組織の染色】
| サフラニンO染色 | 軟骨が赤く染まる
|
|---|
- 【アミロイド染色】
- アミロイドーシス、アルツハイマー病、などにおけるアミロイドの沈着
| コンゴー赤染色 | アミロイドのβシート構造内に色素が入り込み、アミロイドが赤く染まる ※偏光顕微鏡下で緑色を示す ※ホルマリンに長期間浸漬したサンプルでは染色性が低下する |
|---|
- 【銀親和性物質の染色】
- カルチノイド腫瘍や、メラニン、リポフスチン、などの他、クリプトコッカスの鑑別にも用いられます。
| フォンタナマッソン染色 | アンモニア銀液中の銀イオンが細胞自身の還元力によって還元され、黒色に染まる
|
|---|
- 【無機塩類の染色】
- 代謝異常、中毒、溶血性貧血、などの観察に用いられます。
| ベルリン青 (Fe)染色 →溶血性貧血における担鉄細胞、心臓病細胞、など |
色素がヘモジデリン中の三価の鉄イオンと結合して、ベルリンブルーとなり青く染まる |
|---|---|
| コッサ (Ca)反応 | 組織内のカルシウム塩が硝酸銀によって銀塩となり、還元されることで黒く染まる
|
- 【酒石酸耐性酸性ホスファターゼの染色】
- 破骨細胞、骨端軟骨細胞、異物巨細胞の観察、腫瘍の鑑別、などに用いられます。
| TRAP染色 | 酒石酸存在下でも活性を示す酒石酸耐性酸性ホスファターゼの活性が赤色に観察される
|
|---|
- 【内分泌細胞の染色】
- 膵臓ランゲルハンス島のB細胞、HBs抗原、下垂体前葉のβ細胞などの観察に用いられます。
| アルデヒドフクシン染色 | 膵臓のB細胞と弾性線維を紫色、膠原繊維を緑色、A細胞を赤色に染める。
|
|---|
- 【脂肪の染色】
- 脂肪の観察に用いられます。
| Oil red O染色 | 脂肪を赤色に染める。
|
|---|