BIOSCIENCE 病理標本作製・検査
免疫染色例
弊社での染色像の一例を掲載いたします。
記載の無いものもできる限りご対応いたします。どうぞお気軽にお問い合わせください。
| αSMA |
|
|
|
|---|---|---|---|
|
|
|
|
| CD31 |
|
|
|
|
|
||
| CD68 |
|
|
|
| CD3 |
|
|
|
| CD79a |
|
|
|
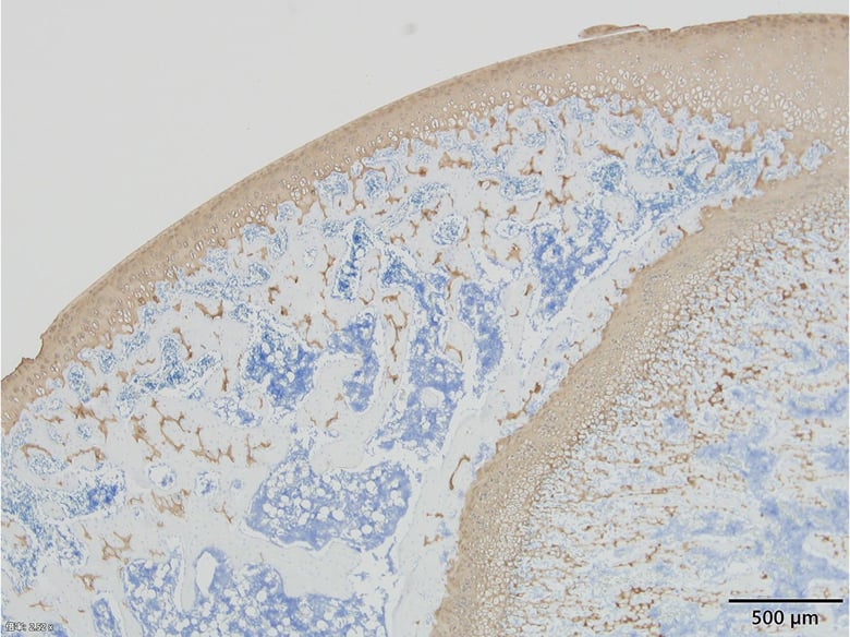
| Collagen Type 1 |
|
|
|
| Collagen Type 2 |
|
|
|
|
|||
| DAZL |
|
|
|
| DDX4/MVH |
|
|
|
| Elastin |
|
|
|
| Filaggrin |
|
|
|
| F4/80 |
|
|
|
| GFAP |
|
|
|
|
|
|
|
| Iba-1 |
|
|
|
|
|||
| Insulin |
|
|
|
| Lamin |
|
||
| Myosin fast |
|
|
|
| Myosin slow |
|
|
|
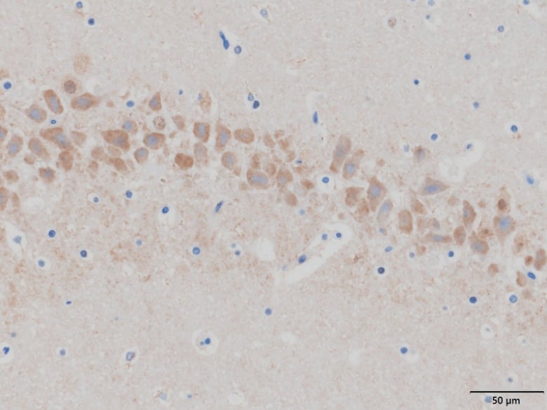
| NeuN |
|
|
|
| MBP |
|
|
|
| Tmem79 |
|
|
|
| Tyrosine Hydroxylase |
|
|
|
| TRAP |
|
|
|
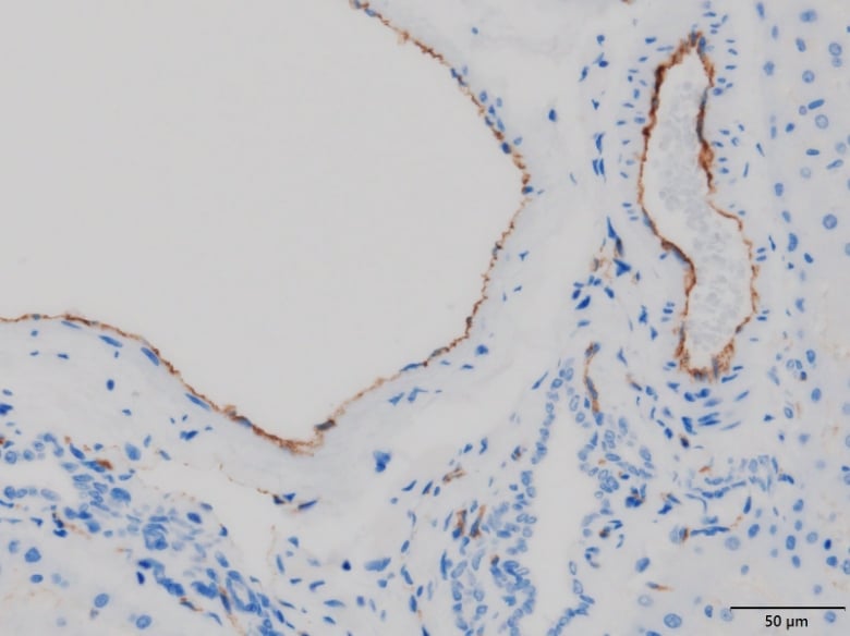
| vWF |
|
|
|
|
|
|
蛍光二重免疫染色例
弊社での蛍光二重染色像の一例を掲載いたします。
記載の無いものもできる限りご対応いたします。どうぞお気軽にお問い合わせください。
|
|
|
|
|